other
منتجات
كابا ISH

كابا ISH

مسبار كابا الخفيف


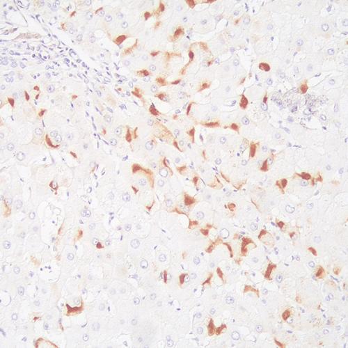
قد يتم الكشف عن الغلوبولين المناعي كابا من سلسلة mRNA الخفيفة في الخلايا B الطبيعية والأورام في الأنسجة اللمفاوية البشرية. الغرض من مسبار Kappa Light Chain هو استخدامه للكشف النوعي عن سلسلة mRNA البشرية من سلسلة kappa الخفيفة في العينات المثبتة بالفورمالين والمضمنة بالبارافين ، مثل الورم النخاعي المتعدد ، عن طريق التهجين الكروموجيني في الموقع (CISH).


# ترك رسالة
إذا كنت مهتمًا بمنتجاتنا وترغب في معرفة المزيد من التفاصيل ، فالرجاء ترك رسالة هنا ، وسنرد عليك في أقرب وقت ممكن.
يُقدِّم
#
منتجات ذات صله
عرض المزيد
EBER ISH EBER ISH Epstein-Barr encoding region (EBER) in situ hybridization
مسبار EBV
كاشف الأجسام المضادة Synaptophysin للكيمياء المناعية Synaptophysin Antibody Reagent for Immunohistochemistry
كاشف الأجسام المضادة Synaptophysin - - Antibo الأولي د ذ
الأجسام المضادة IHC - موجهة الغدد التناسلية المشيمية البشرية Human Chorionic Gonadotropin Antibody Reagent for Immunohistochemistry
الأجسام المضادة IHC - موجهة الغدد التناسلية المشيمية البشرية
كاشف الأجسام المضادة SALL4 للكيمياء المناعية SALL4 Antibody Reagent for Immunohistochemistry
كاشف الجسم المضاد SALL4 - Antibo الأولي d y
كاشف الأجسام المضادة EBV للكيمياء المناعية EBV Antibody Reagent for Immunohistochemistry
EBV ، كاشف الجسم المضاد LMP-1 —— المضاد الأولي د y

ترك رسالة

ترك رسالة
إذا كنت مهتمًا بمنتجاتنا وترغب في معرفة المزيد من التفاصيل ، فالرجاء ترك رسالة هنا ، وسنرد عليك في أقرب وقت ممكن.

بيت

منتجات

عن

اتصال